查看: 1410|回复: 1

[资源分享] [牙体牙髓] 根管治疗之(根管充填)一次性根充的36(图)

[复制链接]
发表于 2012-1-10 20:40:08 | 显示全部楼层 |阅读模式

马上注册,结交更多好友,享用更多功能,让你轻松玩转社区。

您需要 登录 才可以下载或查看,没有账号?立即注册

x
患者,女性68岁,自述一年前36在外院有充填史,但一直冷热不适,近日加重,左下后牙跳疼一周多,口服药物无缓解,今来诊求治。 查:36远中邻HE洞,银汞状充填物松动,冷测(+++)叩(++)松一度,龈正常
诊断:36不可逆性牙髓炎
处:碧蓝阻滞麻醉下一次性根充,择期高嵌体修复
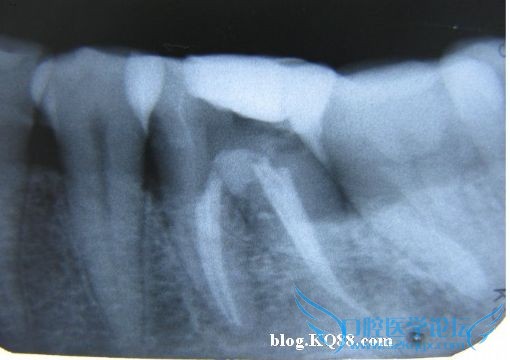
术前X光,可见髓腔基本成一条线了,钙化严重

口内照片

去除原充填物,去腐流体树脂假壁充填,上橡皮障,准备开髓揭顶。


开髓揭顶去除冠髓

髓底探查,发现4根管,近中舌与远中舌很弯,

通畅根管,大量次氯酸钠与EDTA超声荡洗

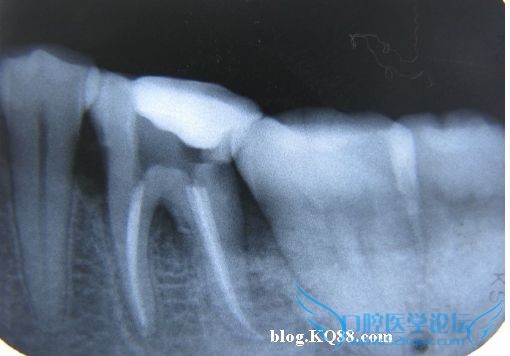
机括至25#06锥度,美松糊剂冷侧压充填

加压充填后烫断于根管口下2mm~4mm


近中偏位投照

正位投照,由于X光是平面成像,所以必须多角度投照确认,并且只能作为参考

术中大图

髓腔必须完全敞开,去除阻挡,减小根管弯曲度数

大量冲洗,去除侧枝与副根管内的牙髓组织,文献表明,5.25%的次氯酸钠7分钟既可溶解后牙牙髓。


由于根管的不可控性,所以严密的三维充填只能是臆想,但我们要尽可能做好每一步,以减低根管治疗的失败率。


关注微信,不定期送精品资源!

回复

使用道具 举报

发表于 2012-1-10 21:36:33 | 显示全部楼层
偶像, 有没有简单 点的
回复 支持 反对

使用道具 举报

您需要登录后才可以回帖 登录 | 立即注册

本版积分规则

国家医学考试网 | 河北高考网 | 河北单招网 | 执业药师真题 | 昭昭医考 | 执业医师真题 | 标签页 | 国家医学考试网准考证打印入口 | 国家医学考试网上报名入口 | 国家医学考试网成绩查询入口
快速回复 返回顶部 返回列表